情绪测试常用的:焦虑类(.2D 行为学
旷场、高架十字迷宫、明暗箱。3D 行为学
自发行为箱,在圆形旷场中,测 3D-AI 精细自发行为变化,比如更能知道多巴胺影响的是具体的哪一类行为了);抑郁类(强迫游泳、蔗糖偏好)。
爆炸性脑损伤的小鼠步态分析咋怎么都做不出差异
步态分析肉眼看有差异吗?也有可能你现在用的 2D 步态分析技术不够精准,试试 3D-AI 步态试试。我之前也有过传统 2D 没差异,3D 有差异的情况
con 组强迫游泳不爱动怎么办,抑郁组的动的更多
听你的描述,应该是已经做完了实验,如果是的话,我建议是分析一下其他的指标,第一次出现不动行为的时间看看呢,或者看看挣扎的时间。如果不是的话,可以在做几次,现在做的当做是小鼠适应环境,看看后面做的效果会不会变好。
还有就是不要依赖软件,自己也秒表记录看一下~
小鼠眼眶血怎么取
首先,深呼吸,最重要的是胆子大,对着 protocol 勤练习!左手按住小鼠,轻压颈侧让眼球鼓出、血管充血。右手拿细玻璃管,顺着眼眶后壁往喉咙方向转着扎,小鼠扎2~3毫米,大鼠4~5毫米。遇阻力稍退,放平轻吸,够血就拔管。
怎么handle
我基本会轻柔的,带个厚手套放在手里捧着,呆一会(当然要同时轻柔的抓住尾巴,避免逃逸)
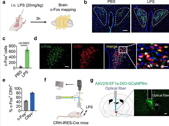
请问[下丘脑室旁核(paraventricular nucleus of hypothalamus,PVN)脑区怎么看呢?
你好呀,可以看一下这个文献,可以非常好的定位到PVN脑区
可以重点看他的方法部分和结果图部分。
非常好的定位了他的位置。
Li H, Liu T, Wang Y, et al. Paraventricular nucleus CRH neurons regulate acute lung injury via sympathetic nerve-neutrophil axis. Nat Commun . 2025;16(1):8870. Published 2025 Oct 6. doi:10.1038/s41467-025-63953-7
给人类大脑画张图?
集美们!今天必须给你们安利一个超硬核、超科幻的存在——艾伦脑图谱 (Allen Brain Atlas)。如果你好奇人类意识的物理基础,这个地方你一定要知道!![]()
什么是艾伦脑图谱?
它是微软创始人之一保罗·艾伦 (Paul Allen) 砸重金建立的非营利研究机构。目标超级宏大:把人类和老鼠的大脑,每一个细胞、每一根神经纤维都“画”出来!
网站直达:Anatomy
“我们要了解大脑,就像当初要了解地图一样。这是探索人类最后疆域的蓝图。”
老师我想问一下,吗啡后的竖尾反应你知道吗?怎么判断呢?
小鼠的竖尾反应可作为快速 鉴别药物成瘾的简易方法, 在注射吗啡后小鼠会相继 出现竖尾反应
一种是以>45°为标准
一种是以0 级 – 无反应(<30°);1 级 – 水平桌面以上 30–45°;2 级 – 46–90°;3 级 – 超过 90°;4 级 – 尾巴呈 S 形曲线
一种是以0 = 无反应,1 = 抬高角度 1–45°,2 = 抬高角度 46–90°
☆以>45°为标准(吗啡)
Kitanaka, J., Kitanaka, N., Hall, F. S., Uhl, G. R., Tanaka, K., Nishiyama, N., & Takemura, M. (2012). Straub tail reaction in mice treated with σ(1) receptor antagonist in combination with methamphetamine. Brain research, 1482, 40–46. Redirecting
4.4. STR 评分
在末次给药后,由不知晓处理分组的观察者立即在透明亚克力测试箱(30×30×35 cm)中观察动物的 STR(Straub 尾反应)1 小时。阳性尾部反应定义为尾巴持续抬高角度超过 45°(Aceto 等人,1969;Nath 等人,1994)。实验在隔音条件下进行,以最大限度减少噪音对 Straub 尾反应的影响。行为观察按 30 秒为一个时间单元划分,当尾部反应为该单元内的主要行为时进行记录。每 5 分钟内的阳性时间单元累计数作为时间进程数据呈现(最大值 = 10)。
☆不同高度评分(吗啡)-常用
Belozertseva, I. V., Dravolina, O. A., Tur, M. A., Semina, M. G., Zvartau, E. E., & Bespalov, A. Y. (2016). Morphine-induced Straub tail reaction in mice treated with serotonergic compounds. European journal of pharmacology, 791, 1–7. Redirecting
为了评估斯特劳尾反应强度的时间进程,在吗啡挑战后立即通过直接观察记录动物的反应,每 3 分钟记录一次,持续 60 分钟。根据改良的强度评分量表(Kameyama 等人,1978 年)对斯特劳尾反应进行分级:0 级 – 无反应(<30°);1 级 – 水平桌面以上 30–45°;2 级 – 46–90°;3 级 – 超过 90°;4 级 – 尾巴呈 S 形曲线。斯特劳尾反应的发生由不知晓处理条件的观察者进行评分。
不同高度评分(吗啡)
来源网址:https://www.meliordiscovery.com/in-vivo-efficacy-models/straub/
参考文献:Belozertseva, I. V., Dravolina, O. A., Tur, M. A., Semina, M. G., Zvartau, E. E., & Bespalov, A. Y. (2016). Morphine-induced Straub tail reaction in mice treated with serotonergic compounds. European journal of pharmacology, 791, 1–7. Redirecting
不同高度评分(吗啡)
Zarrindast, M. R., Alaei-Nia, K., & Shafizadeh, M. (2001). On the mechanism of tolerance to morphine-induced Straub tail reaction in mice. Pharmacology, biochemistry, and behavior, 69(3-4), 419–424. Redirecting
每隔 15 秒对实验对象的行为进行一次采样,并将 Straub 尾反应按以下标准分级:0 = 无反应,1 = 抬高角度 1–45°,2 = 抬高角度 46–90°。在每 30 分钟时间段内,通过 30 分钟内的总累积分数评估反应。对于吗啡的时效影响(图 1),记录每 15 分钟的总累积分数。记录至少 7 只小鼠的 Straub 尾评分 ± 标准误(S.E.M.)。
不同高度评分
Szumlinski, K. K., Coelho, M. A., Tran, T., Stailey, N., Lieberman, D., Gabriella, I., Swauncy, I., Brewin, L. W., & Ferdousian, S. (2020). Who is HOT and who is LOT? Detailed characterization of prescription opioid-induced changes in behavior between 129P3/J and 129S1/SvlmJ mouse substrains. Genes, brain, and behavior, 19(5), e12609. https://doi.org/10.1111/gbb.12609
从注射后 5 分钟开始,由经过培训的观察者在 1 小时的测试过程中,每隔 5 分钟对尾巴背屈程度进行评分,使用 Belozertseva 等人 35 采用的强度评分量表:0=无反应(<30°);1=水平桌面以上 30°至 45°;2=46°至 90°;3=超过 90°;4=尾巴呈 S 形曲线。
不同僵硬程度和高度评分
Hermann AL, Fell GL, Kemény LV, et al. β-Endorphin mediates radiation therapy fatigue. Sci Adv. 2022;8(50):eabn6025. doi:10.1126/sciadv.abn6025
评分系统采用 0 到 2 分的量表,基于尾巴相对于水平方向的僵硬程度和抬高角度进行评分(0 分:尾巴放松且无抬高;1 分:尾巴僵硬且抬高角度不超过 10°;1.5 分:尾巴僵硬且抬高角度在 11° 至 45° 之间;2 分:尾巴僵硬且抬高角度在 46° 至 90° 之间)。
在外源性阿片类药物的给药下,啮齿动物表现出μ-阿片受体依赖性的疼痛阈值升高( 20 )和竖尾( 21 ),后者是尾巴根部骶尾肌的中央μ-阿片受体依赖性收缩,导致尾巴僵硬和抬高。
代表图(吗啡)
图片来源:https://www.youtube.com/watch?v=43Sey-HP1aU
其他
画图参考:
Arias, H. R., Kazmierska-Grebowska, P., Kowalczyk, T., Shim, Y., Caban, B., Aman, C., Allain, A. E., De Deurwaerdère, P., & Chagraoui, A. (2024). Coronaridine congeners induce anticonvulsant activity in rodents by hippocampal mechanisms involving mainly potentiation of GABA(A) receptors. European journal of pharmacology, 982, 176911. Redirecting

















