2025 年 9 月,北大孙琳琳团队在《Neuron》发表研究,揭示阿片成瘾动物社交同质性及相关神经机制。该研究应用了一湾生命科技的 AI 精细动物行为分析系统 ——为核心机制的解析提供了关键技术支撑。
社会伙伴选择对个体的社会福祉、情感支持乃至认知功能具有深远影响。药物戒断个体常表现出社交缺陷,但药物成瘾者如何选择社交伙伴及其对成瘾行为的影响尚不明确。近年来,社会同质性(social homophily)——即个体倾向于与具有相似特征的他人建立联系的现象 —— 在成瘾研究中的地位日益凸显。然而,其背后的神经机制至今仍未阐明。
2025 年 9 月 12 日,北京大学基础医学院孙琳琳 研究团队(北京大学基础医学院博士生霍昱及基础医学八年制本科生王星元 为本文共同第一作者)在 Neuron 杂志上发表了题为“Corticotropin-releasing hormone signaling from piriform cortex to amygdala mediates social homophily in opioid addiction”的研究论文。本研究首次发现阿片类药物成瘾动物存在社交同质性 —— 成瘾动物更倾向与同类社交,进而固化社交圈;后续研究进一步阐明其神经机制,为理解成瘾患者社交选择及干预治疗提供了重要价值。一湾生命科技为该研究提供了 AI 精细动物行为解析的技术支持。
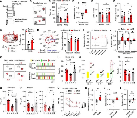
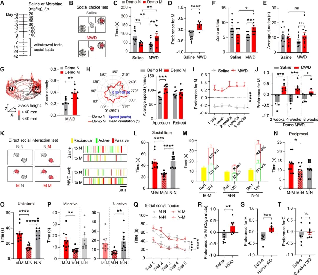
1 阿片类药物依赖及戒断状态下的小鼠存在社会同质性现象
为解答 “成瘾个体是否主动选择同类同伴” 这一基础问题,研究团队首先构建了阿片依赖与戒断小鼠模型(通过 7 天递增剂量吗啡注射后自然戒断),并设计 “社交选择测试(SC 测试)”:将戒断4周的吗啡戒断(MWD)小鼠置于三箱装置中央,两侧分别放置 “吗啡戒断小鼠(demo M)” 与 “生理盐水对照小鼠(demo N)”,观察其探索偏好。
结果显示,吗啡戒断小鼠(MWD)在戒断 4 周后,显著增加对 demo M 的探索时间、区域进入次数,且该偏好至少持续 6 周;即使面对不同戒断时长的 demo M,或与 demo M 为笼友 / 陌生个体,MWD 均表现出稳定偏好。 此外,海洛因戒断小鼠也存在类似同质性,而可卡因戒断小鼠无此现象,证明阿片类成瘾(而非泛化成瘾)会诱导特异性社会同质性,且该行为具有性别普适性(雌雄小鼠均存在)。
02 吗啡处理组小鼠与盐水处理组小鼠释放不同的嗅觉信号与视觉信号
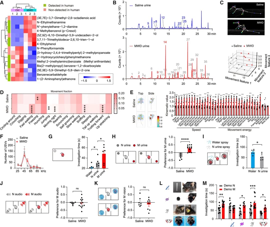
明确社会同质性存在后,研究团队进一步探索 “哪种感官线索传递了‘同伴成瘾状态’的信息”。通过气体色谱分析发现,demo M 与 demo N 的尿液中挥发性分子组成存在显著差异,且部分差异分子与人类体液中的气味分子同源;3D 行为分析显示 demo M 的运动特征(如快速行走、跳跃)与 demo N 不同,但超声发声(USV)无差异。
为验证感官线索的作用,团队开展系列操控实验:仅呈现 demo M 的尿液(嗅觉线索)时,MWD 显著偏好该尿液;若给 demo M 喷洒 demo N 的尿液,MWD 对其探索时间大幅减少;而单独呈现 demo M 的超声(听觉线索)或视觉图像(视觉线索)时,MWD 无偏好。更关键的是,当通过硅胶塞阻断 MWD 的嗅觉功能后,其对 demo M 的偏好完全消失,而阻断视觉、听觉或触觉功能均不影响该行为。这一系列实验明确:嗅觉线索是阿片戒断小鼠识别同类同伴、驱动社会同质性的核心感官信号。
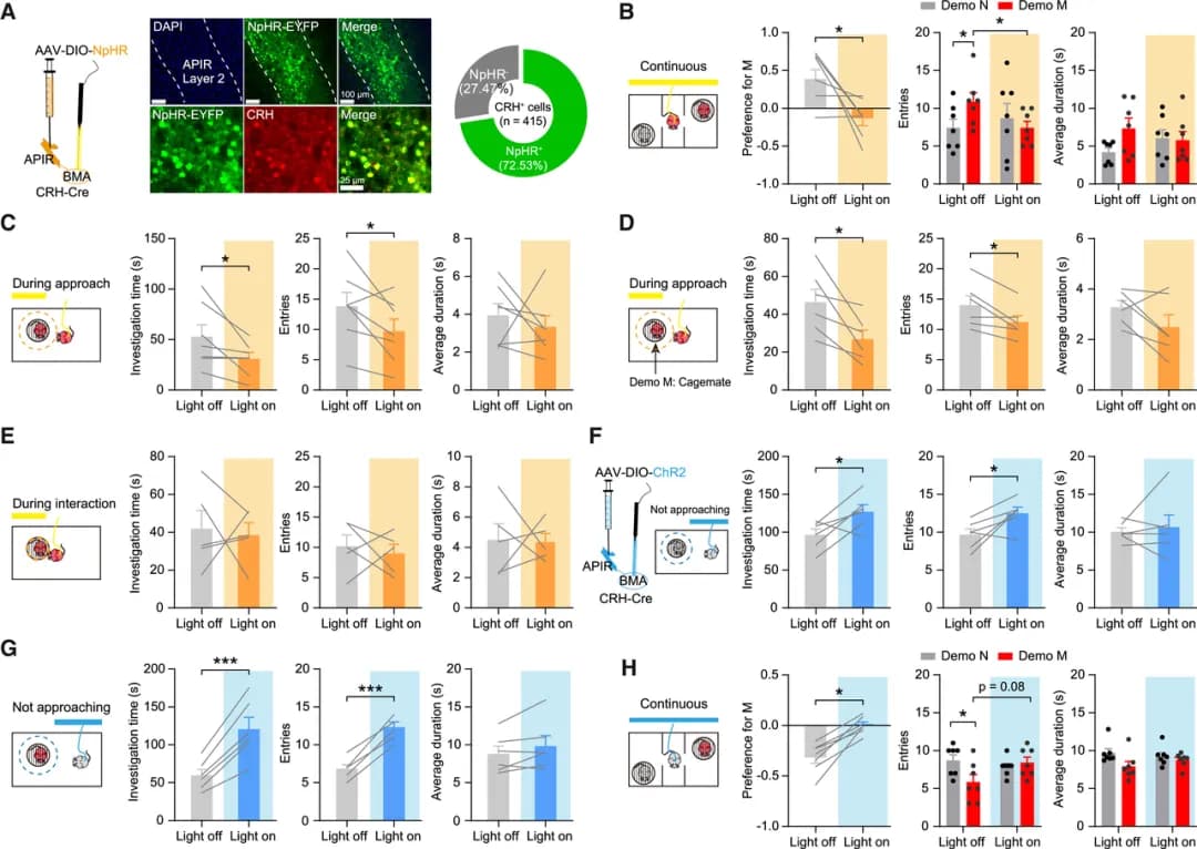
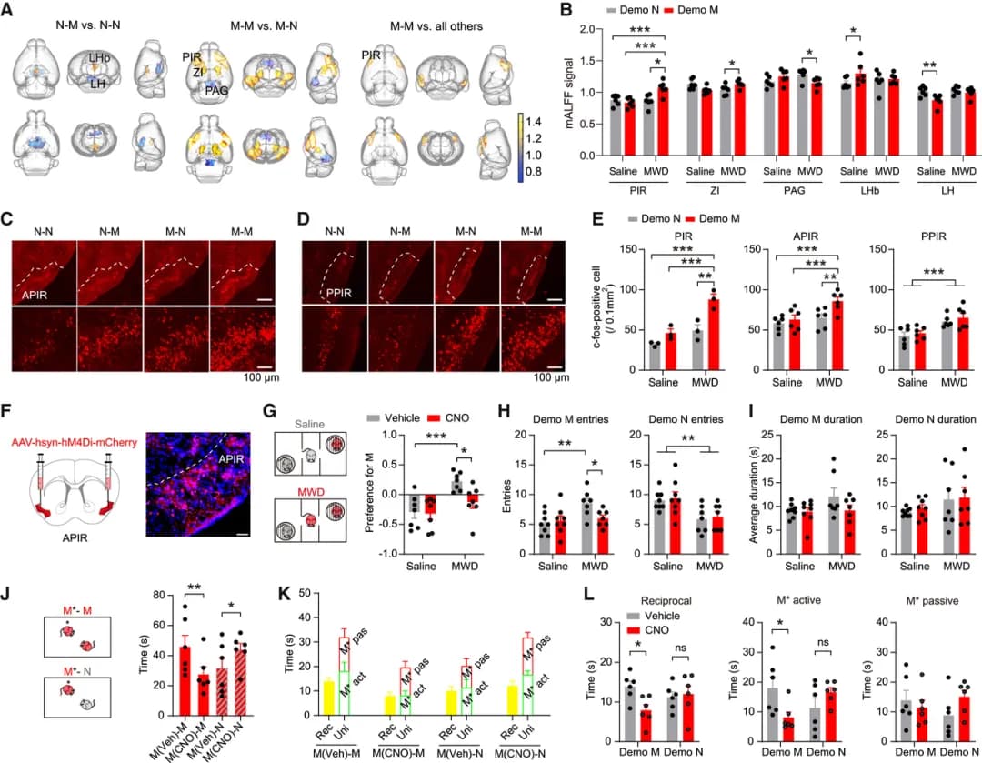
03 同质社交特异性激活前梨状皮层(APIR)神经元
为找到调控社会同质性的神经机制,研究团队通过静息态功能磁共振(fMRI)与 c-Fos 免疫染色(神经元激活标志物)发现:仅在 “MWD 与 demo M 社交(M-M 组)” 时,小鼠的梨状皮质(PIR,嗅觉信息处理核心脑区)被特异性激活,且激活主要集中在前梨状皮质(APIR)的第 2 层神经元,后梨状皮质(PPIR)无显著变化。
通过化学遗传学技术抑制 APIR 第 2 层神经元后,MWD 对 demo M 的偏好显著降低,且与 demo M 的主动社交互动(如 reciprocal 交互、主动发起接触)减少;而抑制 PPIR 则无此效果。这表明:APIR 是调控阿片戒断小鼠社会同质性的关键脑区,其活性对同类同伴偏好的维持不可或缺。
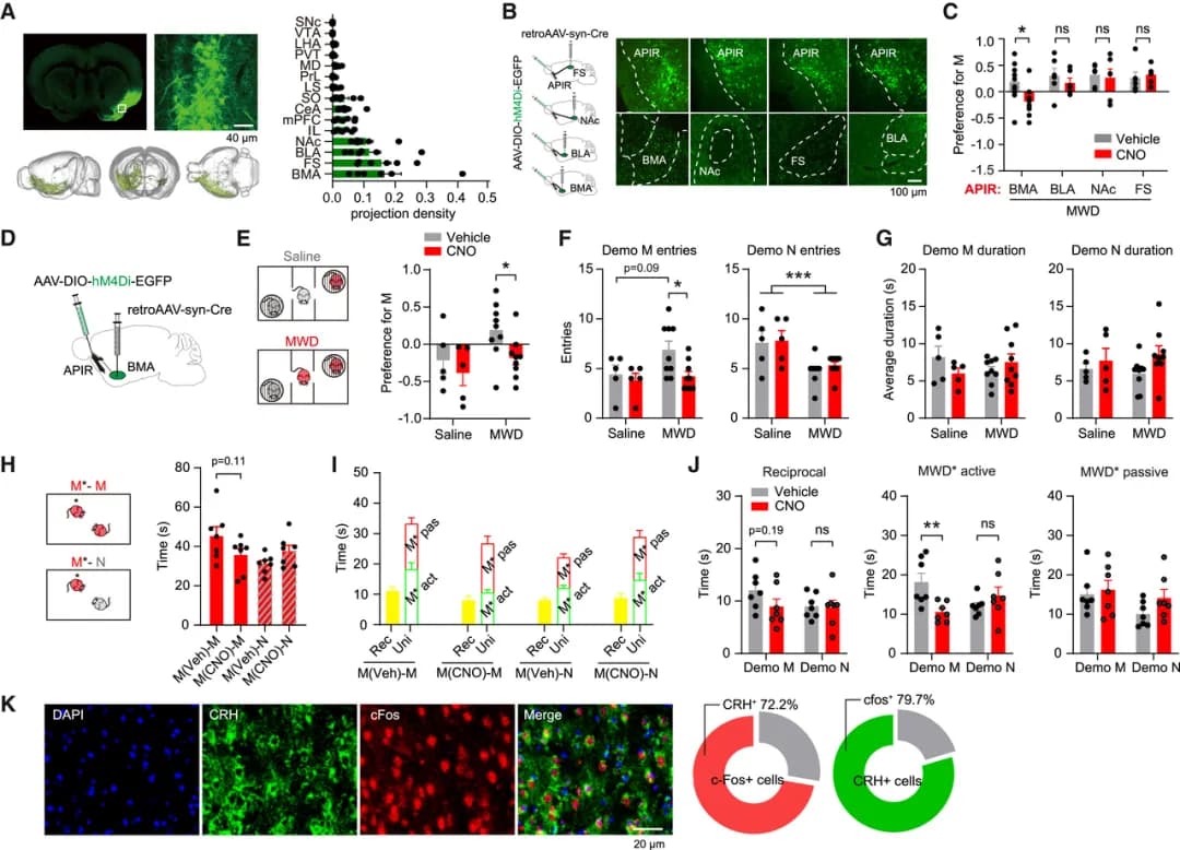
04 APIR→BMA 的 CRH 能投射介导社会动机与同质性行为
APIR 的下游投射脑区众多,哪一通路负责传递社会同质性信号?病毒示踪与环路功能实验表明,APIR 的 CRH 阳性神经元密集投射至基底内侧杏仁核(BMA),抑制该通路可显著降低 MWD 小鼠对同类的社交偏好。
纤维光度记录进一步揭示,仅在 MWD 小鼠接近同类时,BMA 区 CRH 释放显著增加,且该反应由 APIR→BMA 投射介导,仅由嗅觉线索触发。
光遗传时序抑制实验证明,该通路在“社交趋近”阶段(而非互动维持阶段)关键性地驱动社会动机。激活该通路甚至可使正常小鼠出现对 MWD 小鼠的偏好。
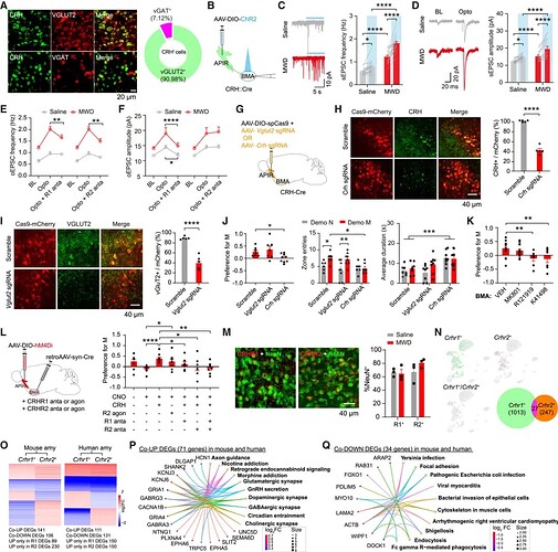
05 CRH(而非谷氨酸)释放是行为表现的关键分子媒介
尽管 APIR 的 CRH 神经元共表达 vGluT2,且戒断后APIR→BMA 的谷氨酸能传递增强,但选择性敲低 CRH (而非vGluT2)或局部阻断 CRHR1/CRHR2(而非NMDA 受体)均可破坏社会同质性。单细胞测序分析显示,BMA 中 CRHR1 与 CRHR2 表达于不同的神经元群体,富集于内源性大麻素、谷氨酸能突触等与社会行为相关的通路中。表明:APIR 神经元向 BMA 释放 CRH,通过激活 BMA 中的 CRHR1/2,是驱动阿片戒断小鼠社会同质性的核心分子机制。
06 阻断社会同质性或 CRH 信号可减弱成瘾记忆与复吸行为
Meta 分析表明,人类研究中与药物使用同伴交往会增加复吸风险。行为实验发现,将 MWD 小鼠与非成瘾同伴共居(M[N])或孤立饲养(M[I]),均可缩短吗啡条件性位置偏好(CPP)记忆的持续时间。特异性抑制APIR→BMA 通路或敲低 APIR 的 CRH 表达,同样能显著减弱 CPP 记忆及其应激诱导的复吸。这表明破坏社会同质性或靶向 CRH 信号可能成为成瘾治疗的新策略。
07 总结
阿片类药物暴露(如吗啡、海洛因)小鼠在戒断期间会表现出对同类阿片暴露同伴的社会同质性(偏好社交),这一现象由嗅觉线索(而非听觉或视觉线索)驱动,核心机制是梨状皮层(APIR)向杏仁核基底内侧部(BMA)释放的促肾上腺皮质激素释放激素(CRH)信号 ——APIR 的 CRH 阳性神经元在小鼠接近同类同伴时特异性释放 CRH,通过激活 BMA 中的 CRHR1/2 受体增强社交动机;该通路过度激活会强化成瘾相关记忆并促进复吸,而与非成瘾同伴共居或阻断 APIR-BMA CRH 通路 可削弱成瘾记忆、减少复吸,为阿片戒断恢复提供新方向。
08 Bayone 助力科研
该研究论文应用了一湾生命科技( BAYONE )自主研发的 3D-AI 小鼠行为分析系统(BA-DC01),为成瘾相关社交行为的精细化研究提供了重要工具支撑。 一湾生命科技致力于通过 AI 技术,为脑科学及脑疾病研究等领域提供新一代更高效、更精准的仪器、软件、服务和标准。一湾生命科技专注于推动 AI 精细行为学技术在神经疾病模型的研究中发现新的生物标志物、表型鉴定及愈后评估等方面的应用。如果您对这一技术感兴趣,欢迎了解更多关于 BehaviorAtlas 3D-AI 动物行为分析系统 的信息!
BehaviorAtlas 3D-AI 动物行为分析系统是国内首家3D-AI精细行为学分析系统,可以在三维层面分析动物的精细行为;追踪16+个身体点,实现行为全面量化;提取40+ 种行为亚型,包括嗅探、梳理、跳跃等行为;计算100+ 种参数,捕捉动物行为的每一个细节;输出专业级可视化图表,满足SCI论文发表要求。 目前,BehaviorAtlas 3D-AI 动物行为分析系统已经在大、小鼠、非人灵长类动物、犬类等模式动物上,针对自闭症、帕金森症、抑郁症、老年痴呆、脑出血等疾病模型以及精神类药物筛选上进行了多种应用。在此,我们也感谢 BehaviorAtlas 的用户对我们系统的关注和支持,希望 BehaviorAtlas 能够帮助更多的科研人员去解答生命科学中的难题。如果您希望深入了解其在动物行为研究中的应用,我们非常欢迎您进一步探索!
为了帮助您获取更多信息,我们提供了便捷的联系方式。您可以通过公众号私信与我们交流,或者直接扫描下方的微信二维码,我们的专业团队将竭诚为您提供更多信息和帮助。
参考文献:
————————————————
Huo Y, Wang X, Lin X, Yu J, Li B, Liu Z, Guo S, Wang Y, Tang R, Li B, Zhang S, Zhang Y, Jiang Z, Fan X, Ye X, Li Y, Zhang X, Yao Y, Song S, Xu M, Jiang H, Xing G, Wan Y, Cui C, Li Y, Sun L. Corticotropin-releasing hormone signaling from piriform cortex to amygdala mediates social homophily in opioid addiction. Neuron. 2025 Sep 9:S0896-6273(25)00597-5. doi: 10.1016/j.neuron.2025.08.012.













