近日,中山三院戎利民教授团队通过 BehaviorAtlas AI 小鼠运动功能分析系统,追踪脊髓损伤小鼠 30 分钟内关键肢体位点运动轨迹,精准量化步长、关节活动角度等多项步态核心指标,辅助证实靶向激活神经元中 PI4K2A-OSBPL6/ORP6-PS 轴,可显著增加神经元存活,改善小鼠后肢运动协调性、体重支撑能力等步态功能。一湾生命科技 BehaviorAtlas AI 小鼠运动功能分析系统为本论文中的步态行为学分析提供了强有力的技术支持!
脊髓损伤(spinal cord injury, SCI) 是一种预后极差的中枢神经系统(central nervous system, CNS)严重损伤,其病理过程分为原发性损伤和继发性损伤两个阶段。继发性损伤中,炎症反应激活、免疫细胞浸润、活性氧(reactive oxygen species, ROS)积累等因素导致神经元细胞器功能障碍和微环境紊乱,最终引发神经元死亡。既往研究表明,神经元自噬 - 溶酶体系统功能紊乱是 SCI 后神经元死亡的关键因素,溶酶体膜通透化(lysosomal membrane permeabilization, LMP)发生后,溶酶体酶泄漏、自噬流受阻,同时神经元出现以脂滴(lipid droplet, LD)沉积为特征的死亡表型。然而,SCI 后神经元脂滴积累与溶酶体功能障碍的关联、内源性溶酶体修复通路的调控机制仍不明确。
已知溶酶体损伤后存在内体分选转运复合体(endosomal sorting complex required for transport, ESCRT)和磷酸肌醇介导的膜锚定与脂质转运(phosphoinositide-initiated membrane tethering and lipid transport, PITT)两条修复通路。磷脂酰肌醇 4 激酶 2α(phosphatidylinositol 4-kinase type 2 alpha, PI4K2A)作为 PITT 通路的关键分子,在 CNS 中具有重要作用,但其一是否通过稳定溶酶体膜发挥神经保护作用尚未明确。
2026 年 2 月 4 日,中山大学附属第三医院戎利民教授团队 在 Autophagy 上在线发表了题为 “The PI4K2A-OSBPL6/ORP6-PS axis mediates lysosomal membrane repair to restore neuronal lipid homeostasis and promote neuronal survival after spinal cord injury” 的研究论文,旨在阐明 SCI 后神经元溶酶体损伤的机制,探索 PI4K2A 在溶酶体修复中的作用及调控脂质稳态的分子通路。该研究首次证实神经元中 PI4K2A-OSBPL6/ORP6-PS 轴是介导脊髓损伤后溶酶体膜修复、恢复神经元脂质稳态并促进神经元存活的关键通路,并且团队通过 BehaviorAtlas AI 小鼠运动功能分析系统,精准量化小鼠后肢步长、步态周期、关节高度、关节活动角度等多项核心步态和运动学指标 ,辅助验证了靶向激活该通路可显著改善脊髓损伤小鼠的后肢运动协调性与整体步态功能 ,为脊髓损伤后神经功能修复提供了全新的分子靶点与实验依据。
01
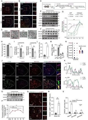
SCI 急性期神经元特异性发生自噬流受阻与 LMP,PI4K2A 呈损伤依赖性上调
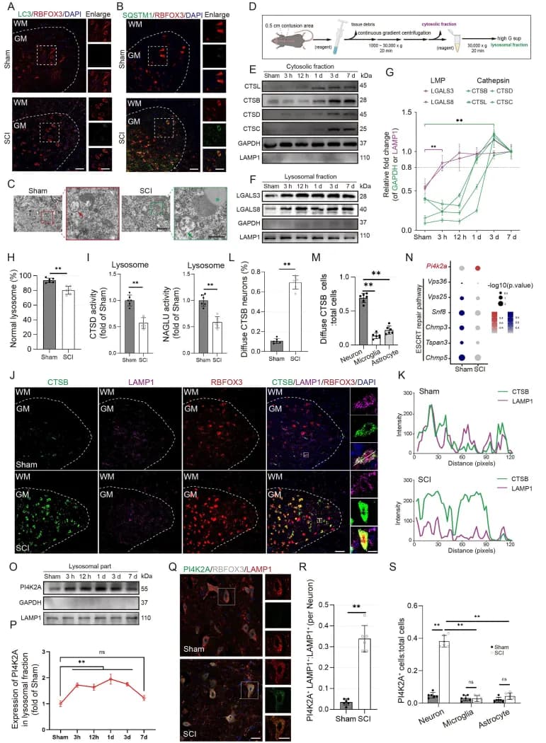
为明确 SCI 后神经元的核心损伤表型,本研究率先检测自噬 - 溶酶体系统功能状态,结果显示 SCI 后神经元自噬流受阻,且出现溶酶体膜通透化(LMP),该损伤呈神经元特异性,远高于其他神经细胞(图 1A,B,C,E,H,J-M)。基于溶酶体损伤后存在内源性修复通路的背景,通过 DEGs 分析发现经典 ESCRT 修复通路下调,而 PITT 通路关键分子 PI4K2A 在 SCI 后于神经元溶酶体中呈时间依赖性上调(图 1N-S),这一结果提示 PI4K2A 可能是介导 SCI 后神经元溶酶体修复的关键内源性因子,为后续探究其功能与机制奠定核心方向。
02
PI4K2A 是维持神经元溶酶体膜稳定性、抑制神经元凋亡的关键分子
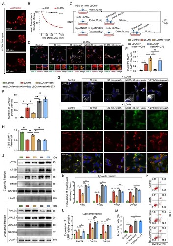
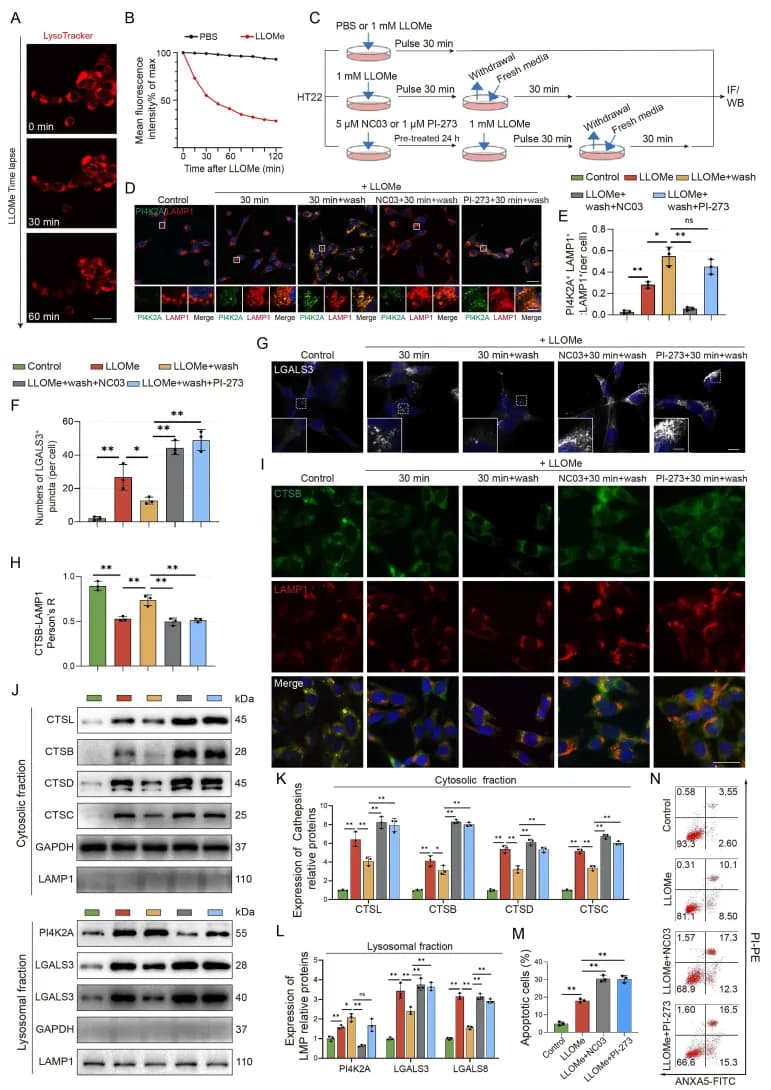
为验证 Fig1 中 PI4K2A 的潜在修复功能,本研究利用 LLOMe 构建体外神经元 LMP 模型,通过两种不同靶点的 PI4K2A 抑制剂干预发现,PI4K2A 功能缺失会显著加剧神经元溶酶体损伤与凋亡(图 2D-L,M,N)。该结果直接证实 PI4K2A 对神经元溶酶体膜完整性具有保护作用,且是抑制 LMP 诱导的神经元凋亡的关键分子,其激酶活性与底物结合能力均为功能发挥所必需,为后续探究具体修复机制提供了功能学依据。
03
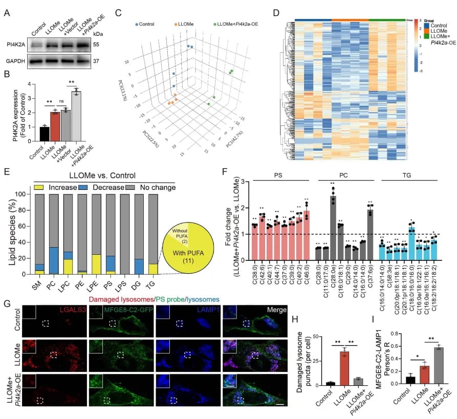
PI4K2A 过表达通过富集溶酶体 PS、减少脂毒性 TG 积累,重塑溶酶体脂质稳态以保护溶酶体
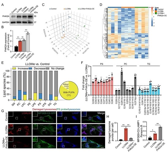
基于溶酶体膜脂质组成是维持其结构稳定性的关键,为解析 PI4K2A 的保护机制,本研究构建 PI4K2A 过表达神经元细胞系,通过脂质组学分析发现,PI4K2A 过表达可显著逆转 LMP 诱导的溶酶体脂质紊乱,核心表现为特异性增加溶酶体中磷脂酰丝氨酸(PS)水平,同时减少多不饱和脂肪酸类甘油三酯(TG)的异常积累(图 3C,D,E,F)。结合 PS 特异性探针共染结果,进一步证实 PI4K2A 通过促进 PS 向溶酶体膜富集实现膜修复(图 3G-I),同时为后续探究 PS 的转运机制提出了新的问题。
04
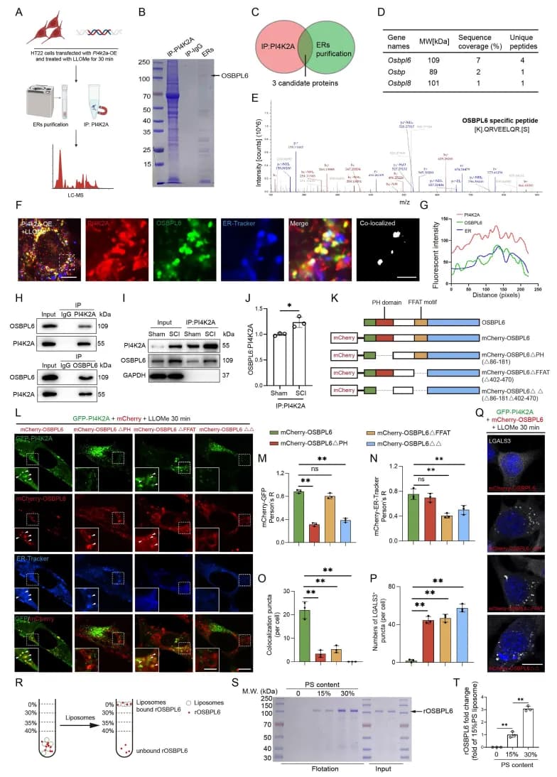
PI4K2A 与内质网脂质转运蛋白 OSBPL6 特异性互作,介导 PS 向受损溶酶体膜的定向转运
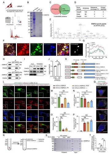
结合 PI4K2A 无直接脂质转运功能、PS 主要在内质网(ER)合成的背景,为明确 PI4K2A 调控溶酶体 PS 的具体途径,本研究通过 ER 分离联合 co-IP-MS 筛选,发现 PI4K2A 与 ER 脂质转运蛋白 OSBPL6 存在特异性相互作用,且该互作在 SCI 后体内模型中进一步增强(图 4B,E,H,I-J)。通过结构域突变体验证,明确 OSBPL6 的 PH 结构域和 FFAT 基序分别介导与 PI4K2A 的结合和与 ER 的锚定,二者缺一不可;同时脂筏共浮选实验证实 OSBPL6 可浓度依赖性结合 PS,并介导其向受损溶酶体膜定向转运(图 4K-Q,R-T)。该结果完整解析了 PI4K2A 调控溶酶体 PS 的分子通路,为溶酶体膜修复提供了核心脂质原料的转运机制。
05
PI4K2A-OSBPL6 轴通过修复溶酶体,逆转 LMP 诱导的神经元脂滴积累与脂质过氧化
基于 Fig1 中 SCI 后神经元脂滴沉积的表型,结合溶酶体在脂质代谢中的核心作用,本研究进一步验证了 LMP 与神经元脂滴积累呈时间依赖性正相关,溶酶体损伤是脂滴异常沉积的重要上游诱因(图 5A,B)。而借助 OSBPL6 敲低实验,证实 PI4K2A-OSBPL6 轴可通过修复溶酶体,显著减少 LMP 诱导的神经元脂滴沉积,并进一步缓解脂质过氧化与活性氧的异常产生,且该效应完全依赖 OSBPL6(图 5C-H,I-N)。该结果将 PI4K2A-OSBPL6 轴的功能从溶酶体修复延伸至神经元脂质稳态调控,揭示了该通路可通过双重作用缓解神经元脂毒性。
06
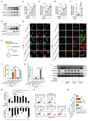
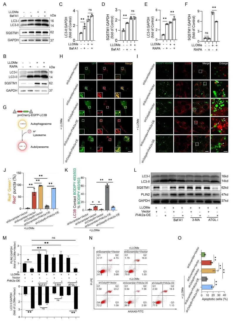
PI4K2A-OSBPL6 轴通过恢复自噬流、激活脂自噬,清除脂滴并抑制神经元凋亡
基于自噬流受阻是 SCI 后神经元脂滴积累、功能障碍的重要原因,本研究先证实 LLOMe 可显著阻塞神经元自噬流,而 PI4K2A 过表达可通过 OSBPL6 依赖的方式恢复神经元自噬流(图 6A-F,G-J)。为明确脂滴清除的具体途径,通过自噬与脂解抑制剂的对比实验,证实 PI4K2A-OSBPL6 轴并非通过脂解途径,而是通过激活脂自噬实现脂滴清除(图 6I,K-M)。最终流式细胞术结果证实,OSBPL6 敲低可完全逆转 PI4K2A 过表达的抗凋亡效应 (图 6N-O)。该结果形成完整功能机制链:修复溶酶体→恢复自噬流→激活脂自噬→清除脂滴 / 缓解脂毒性→抑制神经元凋亡。
07
体内神经元特异性过表达 PI4K2A,通过 PS 依赖方式缓解 SCI 小鼠神经元溶酶体损伤、减少神经元死亡
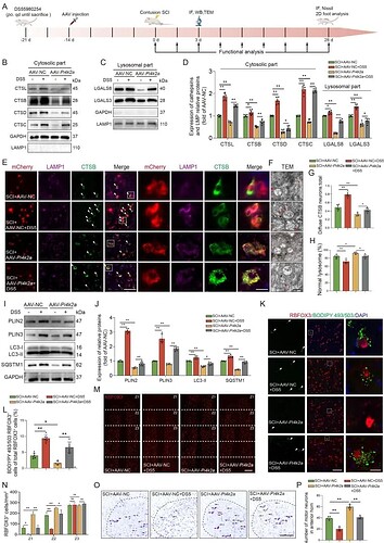
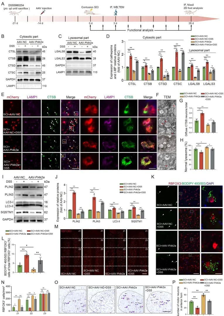
为将体外机制转化至体内模型,验证 PI4K2A-OSBPL6-PS 轴的体内功能,本研究构建神经元特异性 PI4K2A 过表达 AAV 载体,并结合 PS 合成酶抑制剂 DS5 开展拯救实验(图 7A)。结果显示,神经元特异性过表达 PI4K2A 可显著逆转 SCI 小鼠神经元的溶酶体损伤,减少脂滴积累,并显著增加存活神经元数量(图 7B-H,I-L,M-P)。而利用 DS5 阻断 PS 合成后,PI4K2A 介导的所有神经元保护效应均被完全逆转。该结果在体内层面证实了 PI4K2A 的神经保护作用,且明确 PS 是该通路发挥体内功能的核心介质,为后续验证该通路对 SCI 小鼠神经功能的改善作用奠定病理基础。、
08
PI4K2A-OSBPL6-PS 轴通过保护神经元,显著改善 SCI 小鼠步态功能
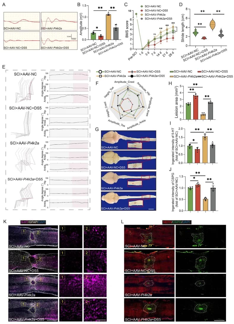
基于 Fig7 中神经元特异性过表达 PI4K2A 可显著缓解 SCI 小鼠神经元溶酶体损伤、减少神经元死亡的体内保护作用,为明确 PI4K2A-OSBPL6-PS 轴对 SCI 后核心神经功能恢复的实际价值,本研究聚焦步态功能这一 SCI 后运动功能恢复的关键评估指标,整合电生理检测、经典运动功能评分与精细化 AI 步态分析技术开展多维度验证,同时结合脊髓病理检测,全面解析该通路改善运动功能的效应与内在机制。
运动诱发电位(MEP)检测结果显示,与 SCI+AAV-NC 对照组相比,神经元特异性过表达 PI4K2A 的 SCI+AAV-Pi4k2a 组小鼠,MEP 第一波峰振幅显著升高,提示 PI4K2A-OSBPL6-PS 轴可有效修复 SCI 后受损的运动神经传导通路,为后续步态功能恢复奠定了核心的电生理基础;而 PS 合成酶抑制剂 DS5 预处理的 SCI+AAV-Pi4k2a+DS5 组,MEP 振幅回落至对照组水平,初步提示该通路对神经传导功能的改善依赖 PS(图 8A-B)。
Basso 小鼠评分(BMS)结果显示,SCI+AAV-Pi4k2a 组小鼠从损伤后 7 天开始,BMS 评分即显著高于 SCI+AAV-NC 对照组,且随损伤后恢复时间推移,评分差异持续增大;至损伤后 28 天,该组小鼠评分可达 6-7 分,表现为可实现稳定的负重行走且步态协调,而 SCI+AAV-Pi4k2a+DS5 组评分与对照组无显著差异,明确证实 PI4K2A 介导的 SCI 小鼠整体运动功能改善,依赖 PI4K2A-OSBPL6-PS 轴的完整激活(图 8C)。
BehaviorAtlas AI 小鼠运动功能分析系统的精细化量化结果显示,步长指标中 SCI+AAV-Pi4k2a 组小鼠后肢迈步水平距离显著增加,提示后肢运动范围与迈步能力有效恢复;踝关节屈伸角度指标中该组小鼠关节活动幅度大幅提升,反映后肢关节灵活性与运动协调性显著改善;体重支撑能力相关的髂嵴最大高度指标中该组小鼠髂嵴高度显著升高,表明后肢对身体的承重能力明显增强。而 SCI+AAV-Pi4k2a+DS5 组的上述所有精细步态指标,均与 SCI+AAV-NC 对照组无显著差异,证实 PI4K2A-OSBPL6-PS 轴对 SCI 小鼠步态精细功能的全方位改善效应,以 PS 为核心介质(图 8D-F)。
脊髓组织大体解剖与免疫荧光染色结果显示,SCI+AAV-Pi4k2a 组小鼠的脊髓损伤灶面积较 SCI+AAV-NC 对照组显著缩小;损伤区域内 5 - 羟色胺(5-HT)能神经元数量明显增加,而胶质瘢痕特征性标志物 CSPG 的表达水平显著降低,提示 PI4K2A-OSBPL6-PS 轴可通过缩小损伤范围、促进功能性神经元存活、抑制胶质瘢痕形成,改善 SCI 后脊髓的病理微环境,为步态功能恢复提供重要的组织学基础。同时,SCI+AAV-Pi4k2a+DS5 组的脊髓损伤灶面积、5-HT 能神经元数量及 CSPG 表达水平,均与 SCI+AAV-NC 对照组无显著差异,证实该通路对脊髓病理微环境的改善作用同样依赖 PS 的合成(图 8G-L)。
综上,(图 8A-L)从运动神经传导、整体运动功能、精细步态指标、脊髓病理基础四个维度层层递进,充分证实 PI4K2A-OSBPL6-PS 轴可通过保护神经元、改善 SCI 后脊髓的病理微环境,实现小鼠步态功能的实质性恢复,且该通路的全部功能效应均依赖 PS 的合成。该部分结果为 PI4K2A-OSBPL6-PS 轴作为 SCI 治疗潜在靶点,提供了关键、全面且严谨的体内功能证据,也为后续该通路的临床转化研究奠定了重要的实验基础。
09
研究结论与意义
研究结论
1.本研究证实,SCI 急性期神经元会特异性发生自噬流受阻与 LMP,并伴随脂滴异常沉积与脂质过氧化,是诱发神经元死亡的重要病理机制。
2.PI4K2A 作为内源性修复分子,可通过与内质网脂质转运蛋白 OSBPL6 相互作用,介导 PS 向受损溶酶体膜转运,稳定溶酶体结构、恢复自噬流、激活脂自噬并清除脂毒性,从而发挥神经元保护作用。
3.体内实验表明,神经元特异性过表达 PI4K2A 可显著改善 SCI 小鼠运动神经传导、后肢负重能力、步长与关节活动度,并缩小损伤灶、促进 5‑HT 能神经元存活、减轻胶质瘢痕;上述效应均依赖 PS 合成,证实PI4K2A‑OSBPL6‑PS 轴是调控 SCI 后神经元存活与运动功能恢复的关键通路。
研究意义
1.理论意义 首次系统阐明 SCI 后溶酶体损伤‑脂质紊乱‑自噬障碍的链式病理机制,建立起 PI4K2A‑OSBPL6‑PS 介导的溶酶体修复新通路,丰富了脊髓损伤后神经保护与运动功能修复的理论体系。
2.方法学意义 本研究依托 BehaviorAtlas AI 小鼠运动功能分析系统实现步态指标的精细化、定量化评估,为 SCI 模型运动功能评价提供了客观、精准、可重复的分析范式。
3.转化意义 明确 PI4K2A、OSBPL6、PS 可作为 SCI 治疗的潜在干预靶点,为开发以溶酶体修复为核心的基因治疗与小分子药物提供了全新方向,对推动脊髓损伤后神经功能修复具有重要临床转化价值。
10
Bayone 助力科研
该研究论文应用了一湾生命科技(BAYONE)自主研发的 BehaviorAtlas AI 小鼠运动功能分析系统,为脊髓损伤后运动功能修复、步态协调性与体重支撑能力的精细化评估提供了关键工具支撑。一湾生命科技致力于通过 AI 技术,为脑科学、脊髓损伤与神经修复等领域提供新一代更高效、更精准的仪器、软件、服务和标准。一湾生命科技专注于推动AI 精细行为学技术在中枢神经系统损伤、神经退行性疾病、运动障碍模型的研究中发现新的生物标志物、表型鉴定及愈后评估等方面的应用。如果您对这一技术感兴趣,或者需要进一步了解如何通过专业步态分析软件,复现类似研究中的脊髓损伤运动功能评估范式,或针对特定步态、运动行为实验定制分析方案,欢迎了解更多关于 BehaviorAtlas 3D-AI小鼠运动功能分析系统 的信息!
目前,一湾生命科技的 BehaviorAtlas 3D-AI 小鼠运动功能分析系统 ,已服务多位客户研究运动功能异常类疾病,重点在脊髓损伤类疾病研究。在神经科学研究与脊髓损伤治疗的征程中,技术革新是推动我们前行的强劲动力。BehaviorAtlas 3D-AI 小鼠运动功能分析系统,突破传统 2D 步态分析的局限,从 3D 角度,为研究人员提供了全面且深入的多维运动功能+多维步态分析,可应用于疾病机制研究、药物筛选及疗效评估等方面。 如果您也想在科研道路上迈出关键一步,一湾生命的 3D-AI 小鼠运动功能分析系统将是您的得力助手,与您一同探索神经科学的奥秘,助力每一次重大发现。
如果您对 BehaviorAtlas 3D-AI 小鼠运动功能分析系统感兴趣,欢迎通过公众号私信或扫描下方的微信二维码联系我们,我们将竭诚为您提供更多信息和帮助。
参考文献:
————————————————
Zhang H, Kang Y, Zhao T, Huang D, Hu X, Di J, Zhang Y, Lu Y, Huang M, Li H, Yao S, Liu B, Rong L. The PI4K2A-OSBPL6/ORP6-PS axis mediates lysosomal membrane repair to restore neuronal lipid homeostasis and promote neuronal survival after spinal cord injury. Autophagy . 2026 Feb 4:1-25. doi: 10.1080/15548627.2026.2619576. Epub ahead of print. PMID: 41556583.












